Who Need Orthodontics?
Orthodontic treatment is needed for many individuals, but seeks to provide the most benefits to those that require it. Generally, orthodontic treatment is needed for individuals with crooked or crowded teeth that impair proper chewing and speaking. Orthodontics also looks to correct jaw disorders such as temporomandibular joint (TMJ) disorder which can cause tension and pain in the surrounding muscle tissue. Furthermore, orthodontic treatments focus on ensuring a healthy bite; this helps alleviate any pressure, misalignment and imbalance in the jaw joints as well as relieving daily pain caused by poor dental alignment. In certain cases, such as tooth decay or trauma, individuals may require restorative orthodontics which utilizes both cosmetic application and orthodontic solutions to restore their smile back to good condition. Overall, various people who suffer from mild or severe dental issues can benefit from receiving professional orthodontic treatment from an experienced practitioner.
Book A Free Consultation
Common Orthodontic Problems:
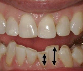
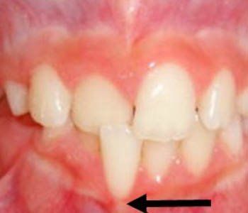
Anterior Crossbite
In the front of the mouth, one or more of the top teeth is stuck behind the bottom teeth.
Posterior Crossbite
In the back of the mouth, one or more of the top teeth is stuck inside the bottom teeth.
Crowding
There is not enough room in the mouth for all of the teeth to fit so they force space making teeth 'crowd'
Diastema or Spacing
There is spaces or gaps between the teeth.
























